massage fractures
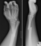
A fracture is a break in the continuity of the bone. In fractures, there are associated soft tissue injuries to the Ligaments, muscles, tendons, fascia, ...
A fracture is a break in the continuity of the bone. In fractures, there are associated soft tissue injuries to the Ligaments, muscles, tendons, fascia, ...