joint massage
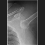
Joint Dislocation is the complete dissociation of the articulating surfaces of a joint. While a Subluxation is when the articulating surfaces of a joint remain ...
Joint Dislocation is the complete dissociation of the articulating surfaces of a joint. While a Subluxation is when the articulating surfaces of a joint remain ...